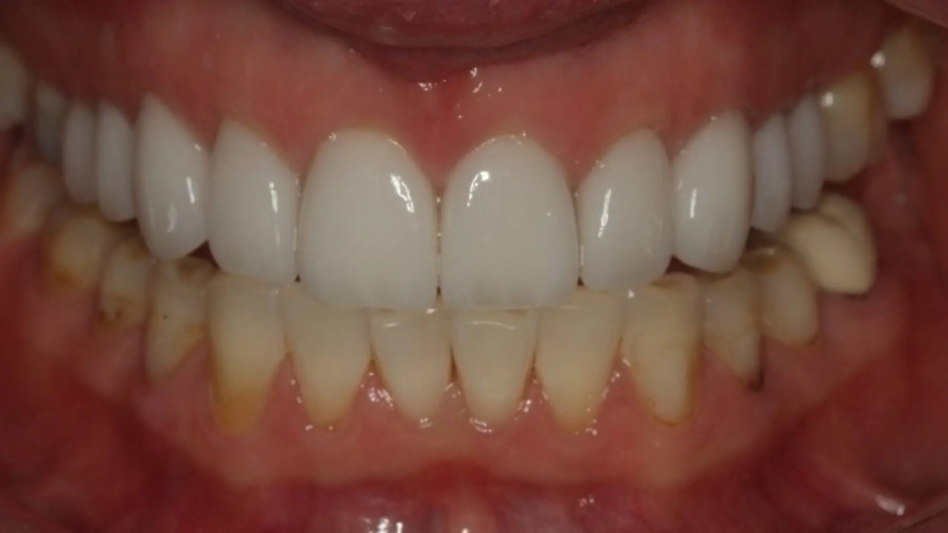
Our Cosmetic Dental Procedures
Cosmetic Dental Care Services in Toronto, ON
Laser Gum Surgery
It is an excellent choice for reshaping gums, treating infection, and enhancing your smile. This reduces discomfort and promotes faster healing. Advanced laser technology makes gum treatments gentler, faster, and more precise!
Teeth Contouring
Subtly reshape teeth for a smoother, more even look. This is also known as enamel shaping, a quick and painless procedure that smooths out uneven edges and minor imperfections!
Micro Abrasion
It is an effective option for mild cosmetic concerns. A conservative treatment that removes superficial enamel stains and discoloration. It brightens your teeth without harsh chemicals, leaving a smoother surface and a refreshed smile!
Teeth Whitening
Professional whitening for a radiant, confident smile. It delivers a dramatically brighter smile in just one visit. Safe, effective, and customized to your needs, it removes deep stains caused by coffee, wine, or aging!
Restorative Dental Care Professional
Meet Dr. Ed Philips, who believes porcelain veneers deliver life-changing results. Show off your smile with the right cosmetic dental treatment.

