MODERN COSMETIC DENTIST TORONTO
With Toronto's Dentist: Dr. Ed Philips
HAVE THE PERFECT SMILE, YOUR Smile Makeover starts here!

Studio For Aesthetic Dentistry
Toronto’s first spa-concept private dental studio for patients seeking a cosmetic dentist in Toronto. Our unique environment is designed for smile makeovers, porcelain veneers, and aesthetic dental care in a calm, private setting. Every treatment is focused on helping you achieve a natural-looking smile that complements your features and feels as good as it looks.
Treatments Offered by Our Cosmetic Dentist in Toronto
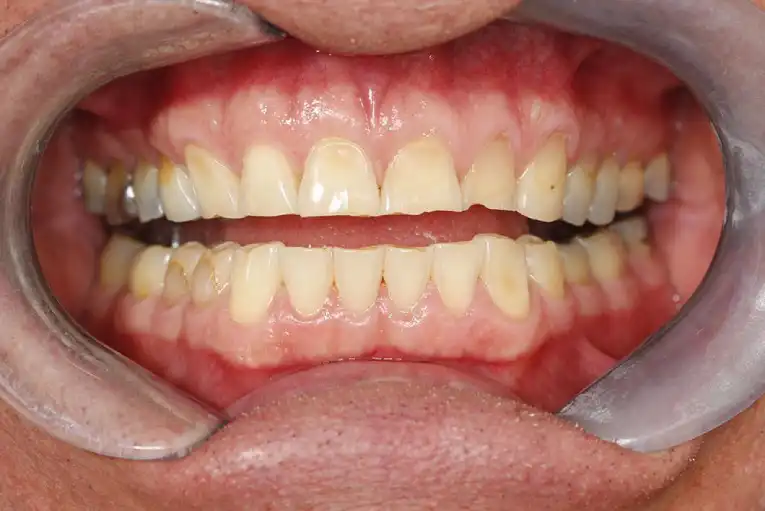
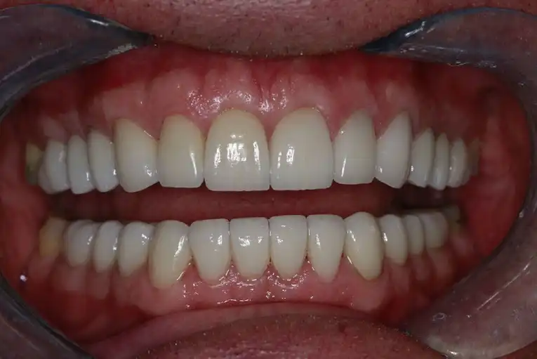
We offer personalized cosmetic dental treatments to help improve stained, worn, uneven, or misaligned teeth. Whether you are looking for a subtle enhancement or a complete smile makeover, our treatments are designed to create natural-looking results that complement your features.
Introducing Dr. Ed Philips
Dr. Ed Philips is a cosmetic dentist in Toronto known for porcelain veneers, smile makeovers, and highly personalized aesthetic dental care. As the author of Your Guide To The Perfect Smile, he has redesigned the smiles of thousands of patients with a focus on precision, balance, and natural beauty.
For more than 30 years, Dr. Philips has developed specialized techniques in cosmetic dental treatment. From his early training at The Toronto Hospital for Sick Children he continuously strives to blend the art and science of crafting beautiful smiles. He is a world leading authority on classifying Smile Patterns as related to dentistry. The beauty of his work is often featured in the country’s most prestigious dental publications.
- He has placed over 10,000 porcelain restorations
- Past C.E Course Director for Aesthetic Dentistry, University of Toronto
- A recognized key opinion leader by the dental profession
Read our Reviews
Demandforce Actual Patient Certified
i have never had a dental experience like this one. attention to detail from the very start. pictures throughout. dialogue so i understood what was going on at every stage. even a trip to the dental lab with dr philips to ensure the finished product met expectations! the two sessions of dental treatment i could describe as ‘pleasant.’ pain free injections and music of my choosing.
highly recommended!
Michael C
Thank you Dr. Philips for bring my smile back. For years i was self conscious of a chipped front tooth. Dr. Philips changed that and gave me a fabulous smile! 12 years later and my smile is just a lovely as the day Dr. Philips created it!
Carmen K
Dr. Philips, Trish and Billi Jo are an absolute dream team. I have a fear of going to the dentist, but they are so comforting and professional that you almost feel like you are in for a spa retreat.
If there is ever a need for an aesthetic dentistry guru, Dr. Philips is definitely the only choice!
Inna L
The entire process was excellent . Dr Philips and his team were great . Very warm and kind , and the work was exemplary . My wife says I look 10 years younger .
Matthew W
Dr Philips and his team best in solving difficult dental problem to full satisfaction
Anne Marie S
Visit The Studio
Book Your Consultation Today!
At The Studio for Aesthetic Dentistry, every smile makeover begins with a holistic approach. The approach of Dr. Ed Philips, a leading Toronto cosmetic dentist, is never one-size-fits-all. He integrates your dream smile vision, unique facial aesthetics, and detailed oral health diagnostics to design stunning, beautiful smiles.
Patient-centric Cosmetic Dentistry Services
- Comprehensive smile design: through digital imaging, diagnostic x-rays, and a detailed analysis of your smile symmetry.
- Aesthetic enhancements: using modern techniques such as veneers, bonding, and whitening.
- Focus on natural function and comfort: ensuring teeth are structurally sound for comfortable, proper chewing, biting, and speaking.
Dr. Philips meticulously assesses the subtle factors that define natural beauty, including potential smile canting, the alignment of your midlines with facial features, arch width, and the critical role of lip position and support. Experience incredibly individualized cosmetic dental care treatment, designed exclusively for you at our Toronto studio dental clinic.
INDIVIDUALIZED TREATMENT in our Cosmetic Dental Care Studio

Featured In









Our Patients' Reviews
Posted on Gloria ChudnowTrustindex verifies that the original source of the review is Google. Always great but didn’t receive the info and quote from downstairsPosted on Gail LockyerTrustindex verifies that the original source of the review is Google. A 30 year old veneer fell off. The work had been done by another dentist. Dr Philliip and team did a wonderful job on the repair. They fit me in and were efficient but also very reassuring .Posted on Desiree RainuTrustindex verifies that the original source of the review is Google. I have been going to Dr. Phillips for over 20 years. Any problems or questions I have about my veneers, I trust him completely to fix. He is extremely knowledgeable and professional and spends the time explaining the problem and treatment. I have written 2 previous reviews and realized I awarded a single star in error. Dr. Phillips deserves 5 stars with no reservation.Posted on Gay MooreTrustindex verifies that the original source of the review is Google. Great experience always. Ten years later I still get compliments on my smile! Fabulous work, lovely office with caring staff. Highly recommend it.Posted on Dael GeftTrustindex verifies that the original source of the review is Google. My experience at The Studio was nothing short of perfect. The place is beautiful and the treatment first class. Dr. Philips is a master and leader in his field. He is kind, thoughtful, attentive, funny and professional. He is super talented and skilled and takes the time to explain the plan before he executes it beautifully. I cannot give a higher recommendation for both Dr. Philips and The Studio!Posted on Hugo LichtensteinTrustindex verifies that the original source of the review is Google. My experience with Dr. Philips exceeded expectations! He is kind, knowledgeable and by far the most professional Dentist I have met. His decades of experience put me at ease knowing that my smile was going to be something I look forward to showing off. Thank you Dr. Philips and team!Posted on Debra RobertsTrustindex verifies that the original source of the review is Google. Last week I had 18 porcelain veneers done by Dr. Philips (12 on top, 6 on the bottom) and I am beyond thrilled with my new smile! I did have 10 on top done by Dr. Philips almost 8 years ago and I now wanted a 'whiter' smile and abit longer front teeth. Of course I would never consider going anywhere else because Dr. Philips is THE BEST at what he does! I get stopped even more often now with compliments about my beautiful smile! From the initial consultation (yes, although I was a previous patient, he takes the time to analyze and hear my current concerns and wants) to the temporaries and final veneers the entire process exceeded my expectations AGAIN! He was so patient and explained everything so clearly and never got frustrated by all of my questions.(he even met with me at his dental laboratory to get the right color of my new veneers). I am taking the time to write this review because I referred my friend and upon her doing her own research she asked me about the latest review. I was beyond shocked when I read it! Crazy how people can write anything they want but the business can’t respond honestly to protect the clients privacy. All I can say is that my several experiences/appointments at the Studio are the opposite of what that person wrote. I can appreciate that Dr. Philips doesn’t have a lot of ‘google reviews’ because he is not a general dental office and certainly DESERVES to have many many more! I would drive the 2 hours to go to his Studio for all of my dental needs but his specialty is solely Smile Makeovers and he is THE BEST Cosmetic Dentist ever! Yes, that is my new smile and new profile pic! Love it!Posted on mel himelTrustindex verifies that the original source of the review is Google. I think I must be Dr. Philips' most challenging patient! Whatever the problem, the result is always excellent! You and your team are truly outstanding!! Thank you, PamelaPosted on phil BenchTrustindex verifies that the original source of the review is Google. very professional and very careful and accurate with the procedures.
Media Appearances
Your Guide to the Perfect Smile by Dr. Ed Philips
Cosmetic Dentistry in Toronto at The Studio
The Smile Designer - Creating a Perfect Smile
FAQS
1. Can you fix small gaps or mildly crowded teeth without braces?
Often, yes for the right cases. A proper examination helps decide if someone is a good fit for Cosmetic Dentistry. Small gaps or a bit of crowding can be fixed with composite bonding or veneers; sometimes just a little enamel reshaping is needed. Invisalign Clear aligners are better if the teeth are really twisted or overlapping.
2. How long do porcelain veneers and other cosmetic dental treatments last?
The lifespan of cosmetic treatments can vary depending on the specific procedure and how well you care for your teeth. Porcelain Veneers or dental crowns typically last around 10 to 15 years, and they can endure even longer with proper oral hygiene and regular use of a night guard. Composite bonding generally lasts about 2 to 7 years, although occasional touch-ups may be necessary. Factors that affect how long composite bonding lasts include nail biting, smoking, and drinking a lot of black coffee, red wine, or anything that can stain. This is because composite is more porous than enamel and can get discoloured faster. The effects of teeth whitening can last from 6 to 24 months before you need to do it again. If you are using aligners, you can maintain your results as long as you continue wearing your retainers; otherwise, your teeth may shift back to their original position. Ultimately, the longevity of your cosmetic dental work depends on things like how hard you bite (bruxism), how much natural enamel you have left, the edges of the restorations, your oral care habits, and going to the dentist regularly.
3. Why choose a cosmetic dentist in Toronto for a smile makeover?
A cosmetic dentist in Toronto focuses on improving the appearance, balance, and overall harmony of your smile while also making sure your results feel natural and function properly. At our studio, every smile makeover is personalized to your features, goals, and dental needs.
4. What cosmetic dental treatments do you offer at your Toronto studio?
We offer porcelain veneers, teeth whitening, composite bonding, Invisalign, gum contouring, crowns, bridges, and dental implants. Our cosmetic dental treatments are designed to improve the colour, shape, spacing, and overall balance of your smile. Every treatment plan is customized based on your goals, facial aesthetics, and oral health needs.
5. Am I a good candidate for porcelain veneers or a smile makeover?
You may be a good candidate if you want to improve concerns such as stained teeth, worn edges, chips, small gaps, mild crowding, or uneven smile symmetry. We begin with a detailed examination and smile assessment to determine the most suitable treatment for your smile.
6. What can I expect during my consultation with a cosmetic dentist in Toronto?
Your consultation includes a discussion about your smile goals, a detailed assessment of your teeth and facial aesthetics, and recommendations based on your needs. We look at factors such as shape, symmetry, alignment, and function so your treatment plan is customized and natural-looking.





















