Before and After Smile Transformations
A selection of cosmetic dental procedures personally performed by Dr. Philips
Browse real before and after smile transformations from our cosmetic dental cases


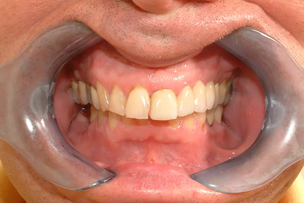
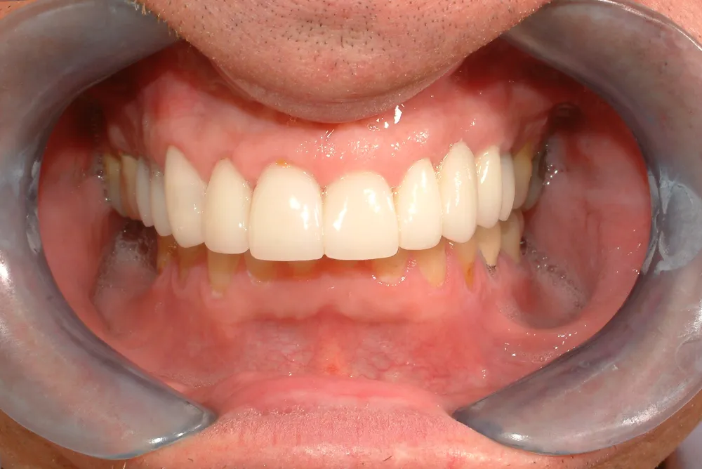
Case 100


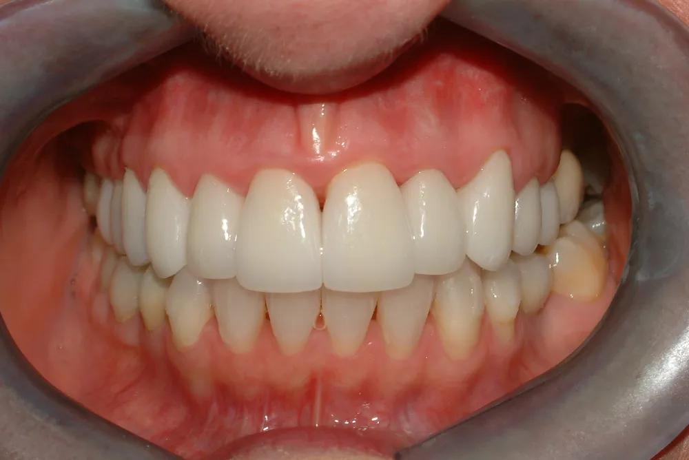
Case 99


Case 98


Case 97


Case 96


Case 95


Case 94


Case 93


Case 92


Case 91


Case 90


Case 88: CLKWA


Case 87: CLTG
Hard grinding of teeth is called bruxism. This not only wears but also causes a recession of the gums known as Abfraction.


Case 86: CLLZ
Previous lower veneers (made elsewhere kept popping off). Laser gum recontouring and newer and whiter porcelain veneers placed. The back teeth are still in temporaries while implants are healing.


Case 85: CLSM
Six porcelain veneers on top and undergoing Invisalign to straighten the bottom teeth.


Case 84: CLMW
Bigger and whiter teeth and the correction of the bite was achieved by placing 12 porcelain veneers on top.


Case 82: CLMML
Natural look achieved with just four porcelain veneers.


Case 81: CLGL
The overlapping of the front two teeth was kept by design with the new veneers. Although nearly all the teeth were restored the design was to ensure the actual crookedness of her original smile.


Case 79: CLNK
Four porcelain veneers and some laser gum reshaping.


Case 78: CLJWI
This is an example of a hereditary open bite. The occlusion was rebuilt with porcelain veneers, crowns and inlay/onlays on the back teeth.


Case 77: CLPSP


Case 76: CLLBP
This very gummy smile was easily correct with a laser gum removal and eight porcelain veneers.


Case 75: CLAP
These heavily worn and dark teeth were rejuvenated with six veneers on the upper social six.


Case 74: CLAK
A complicated crossbite that benefited from crowns and veneers.


Case 73: CLBG
Previous attempts to bond the spaces in the front teeth were finally corrected with six porcelain veneers.


Case 72: CLCG
Old porcelain fused to metal crowns were beautifully replaced with an all ceramic system.


Case 71: CLCB
The spaces and old bonding were easily corrected by placement of six veneers on top and eight veneers on the bottom.


Case 70: CLAO
This worn and inverted smile line was rejuvenated by a complete smile makeover. The vertical dimension was increased and a whiter and more youthful appearance was achieved.


Case 69: CLDM
An increase in vertical dimension to stabilize the bite and the placement of porcelain veneers and crowns on top and bottom.


Case 68: CLLD
Discoloured and chipped bonding was replaced on 10 porcelain veneers on top.


Case 66: CLJW
This heavily worn dentition was treated with six porcelain veneers on top and bottom.


Case 65: CLJC
This primary open bite and congenitally missing upper lateral were treated with bridge work and ovate pontics of the upper front six teeth.


Case 64: CLJWM
A little bit more length was all this smile needed with four porcelain veneers on top.


Case 63: CLJL
This heavy bruxer had their bite changed to stop the numerous cracks by placing ten porcelain veneers and crowns on top and bottom.


Case 62: CLJF
Longer and whiter veneers replaced older veneers of the upper front six.


Case 61: CLJP
This very twisted and serious cross bite was corrected with six porcelain veneers on top and teeth contouring on the lower.


Case 60: CLJCH
Extremely dark Tetracycline teeth were colour corrected with ten porcelain veneers on top. I hope to do the other teeth one day.


Case 59: CLJSM
This hockey accident was treated with two porcelain veneers and a SPORTS GUARD!


Case 57: CLJB
Gummy smile removed with a laser and the placement of six porcelain crowns in the front with implant supported partial on the back teeth.


Case 56: CLKR
This was a very complicated crooked mouth that was incredibly improved with only eight porcelain crowns on top.


Case 55: CLLSA
Very crooked teeth were straightened out with a combination of ten porcelain crowns and veneers.


Case 54: CLMS
The dark teeth and crooked teeth were replaced by 10 porcelain restorations on top and bottom.


Case 53: CLNB
Tiny laterals are often known as βpeg lateralsβ. Laser micro gingivectomy to help shape (at times before and after pics can have different colouring depending on particular settings).


Case 52: CLMSE
Only bonding was placed on the upper right central incisor. The lower teeth were diamonded polished.


Case 51: CLMSC
Ten porcelain veneers to correct colour.


Case 50: CLRP
Just two crowns (pic taken right after cementation at which time remaining teeth appear lighter).


Case 49: CLPDM
Colour and shape change for the front upper four teeth.


Case 48: CLRP
Just four veneers to reduce some of the gummy smile.


Case 47: CLSR
Laser gum surgery and four front veneers. Also new bridge work on the back teeth (budget restrictions but I hope soon to put two more veneers to correct colour on the cuspids).


Case 46: CLTGR
Under these teeth lies severe Tetracycline stain which weakens and severely discolours the natural teeth from birth.


Case 45: CLTD
Two temporary crowns placed on the front two teeth until such time that our patient can properly whiten and address the rest of their cosmetic needs.


Case 44: CLTL
Two bridges were placed and a very small space was left as per requested (I think our patient liked the 50 Cent look).


Case 43: CLPM
Increased vertical dimension to correct bite and the placement of 24 porcelain restorations.


Case 42: CLSKA
Severe Tetracycline stain covered by 24 porcelain veneers.


Case 41: CLWRA
An unfortunate case of hereditary Gingival Fibromatosis. A laser was successfully used to remove the excess gum and the beautiful result was achieved with 10 upper and 10 lower porcelain veneers.


Case 40: CLVS
A wonderful result that corrected colour and crooked teeth but most importantly improved the bite.


Case 39: CLYS
She always wanted to have the perfect little space between her two front teeth. After numerous unsuccessful attempts to have them bonded (by other dentists) she opted to have me place two porcelain veneers. Voila!


Case 38: CLSK
Laser gum contouring with four veneers on top and four veneers on the bottom.


Case 37: CLMSL
This very young smile needed some maturity. Laser gum shaping and six upper porcelain veneers did the trick.


Case 36: CLSC
Ten porcelain veneers often called βThe Smile Lifeβ.


Case 35: CLRA
Two upper bridges in the back with upper front porcelain veneers.


Case 34: CLSAL
Six veneers on top and creative use of space for a bridge on the bottom.


Case 33: CLPB
Laser gum recontouring and 12 porcelain restorations. Very natural colouring used with incisal translucencies and halos.


Case 32: CLEF
An increase in vertical dimension to support the bite was achieved by placing bridges on the back teeth. The upper social six were crowned and veneered.


Case 31: CLPK
Laser gum work to reduce gummy smile is often called a laser micro gingivectomy followed by eight porcelain veneers.


Case 30: CLPG
A smile lift to add a much more youthful appearance and support the lip lines. Twelve on top and twelve on bottom porcelain restorations.


Case 29: CLNMG
Even after completing Invisalign corrects had to be made with 10 porcelain veneers on top.


Case 28: CLST
If you want white β¦ we can give it to you! Not for everyone.


Case 27: CLKW
Home bleaching and just two veneers can go a long way to enhance your smile.


Case 26: CLLM
Gummy smile reduced and teeth lengthened with six porcelain veneers on the top.


Case 25: CLRM
Six porcelain veneers to align the top teeth.


Case 24: CLMSA
These large spaces and gummy look were effectively treated with a laser micro gingivectomy and the placement of porcelain veneers and a bridge.


Case 23: CLJD
Extreme bruxism and abfraction treated with crowns and veneers on the upper twelve and lower twelve dentition.


Case 22: CLGT
These large spaces were closed by using the βmortgaging techniqueβ to keep teeth from being too big. Only four veneers were placed.


Case 21: CLGW
The sporty look was restored to this rugged smile with six porcelain veneers on top.


Case 20: CLBW
Eight veneers on top and six on the bottom completely rejuvenated this smile.


Case 19: CLLS
Old but natural upper veneers replaced with top and bottom super white veneers. (super white veneers are not for everyone)


Case 18: CLGA
A combination of crowns and bridge work completely restored this collapsed dentition.


Case 17: CLCF
The gummy smile was reduced with a laser and the vertical dimension increased with a smile lift of ten veneers on the top teeth.


Case 16: CLDW
Gummy smile was reduced with lasers and the black line associated with old porcelain fused to metal crowns was replaced with new layered ceramic crowns.


Case 15: CLAJ
This person showed up without an appointment with her temporary veneers placed by another dentist falling off. To make matter worse she herself was a dentist.
Voila β 6 Feldspathic veneers naturally shaded did the trick.


Case 14: CLCLO
A severe overbite caused extreme wear and loss of vertical dimension. A complete smile lift involving all the teeth gave the smile the lift it needed.


Case 13: CLSP
Instant orthodontics but really six porcelain veneers.


Case 12: CLAJ
A laser micro gingivectomy and six upper porcelain veneers. On the bottom nothing more than lower contouring was necessary.


Case 11: CLAG
A very natural look was achieved with just four veneers on the upper front teeth.


Case 10: CLBK
The small peg laterals and space were corrected with the placement of veneers on the upper social six.


Case 9: CLAGI
Only four veneers were necessary on top to refresh this dazzling smile.


Case 7: CLBJS
This complex smile pattern required a more full smile for top and bottom. A laser gum recontouring was done as well. Increasing the vertical dimension helped achieve this fuller smile.


Case 6: CLBT
The crooked teeth and crossbite were successfully repositioned with the placement of veneers on the social six.


Case 5: CLBS
This was a complicated crossbite that was corrected by increasing the vertical dimension on the back molars and placing ten porcelain veneers on the upper teeth. Laser gum recontouring was also performed.


Case 4: CLKN
This open bite is from birth and is called primary. The teeth were lengthened and the bite adjusted by placing social six on top and bottom with porcelain veneers.


Case 3: CLMST
This young juvenile smile need a more adult look. Six porcelain veneers on what is often known as the βsocial sixβ.


Case 2: CLCL
Severely worn natural teeth eventually put to much strain on her 20 year old upper veneers causing gum recession. A total smile lift to increase her vertical dimension on all of her teeth with an added whiter brighter smile.


Case 1: CLRH
This upcoming actress and model did not have the time for braces and bleaching. A quick and simple fix of eight veneers on top and eight veneers on the bottom.